Sexually transmitted diseases (STDs) on the lips and throat are more common than you may think. Although most people only associate STDs with the reproductive system, many of these diseases can also spread during oral sex. Learning how to identify the symptoms of a mouth STD can help you know when to seek medical advice.
Let’s go over some common STDs on lips, pictures, causes, and treatments for them.
Causes of STDs on lips
Some of the most common STDs on the lips, throat, and mouth include:
- Herpes
- Human papillomavirus (HPV)
- Gonorrhea
- Chlamydia
- Syphilis
Now, let’s go over each of these causes of STDs on the lips.
Herpes
According to Johns Hopkins Medicine, HSV-1 is typically spread through kissing while HSV-2 is spread through intercourse. However, both strains can be transmitted during oral sex. The symptoms of oral herpes can include:
- Cold-like symptoms a few days after infection
- Fever
- Headache
- Swollen lymph nodes
- Localized itching or redness before the blisters erupt
- Painful, fluid-filled small blisters on the lips or around the mouth
- The blisters will progress into sores, and later scabs
You can learn more about herpes here.
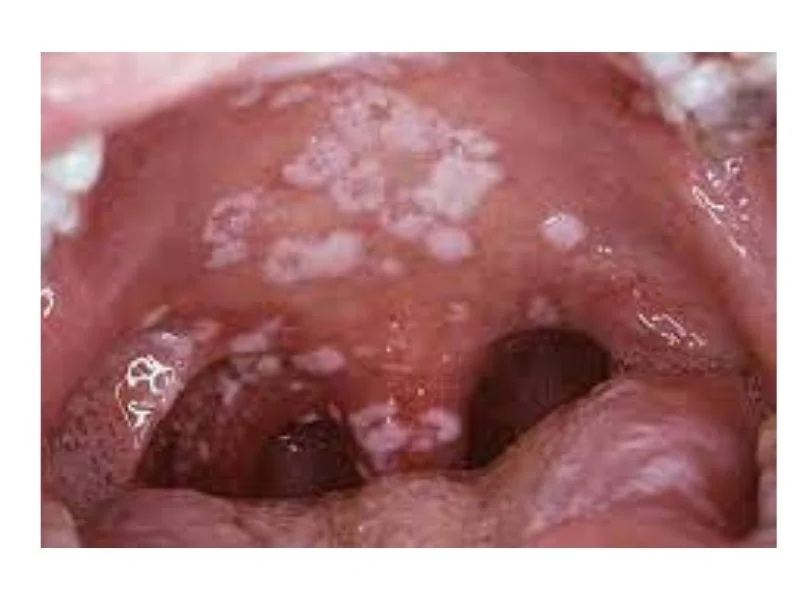
Human papillomavirus (HPV)
HPV is one of the most common STDs in the world, and it’s oral form can cause warts in the mouth or throat, and head and neck cancer in some cases. According to the CDC, HPV has been estimated to cause approximately 70 percent of all cases of oropharyngeal cancer in the United States.
According to the Cleveland Clinic, most people infected with oropharyngeal HPV can be completely asymptomatic. Other people may develop warts in the throat, which can cause symptoms that include:
- Difficulty speaking
- Shortness of breath
- Changes in the voice
Both men and women can get oral HPV. Learn more about HPV in men here.
Chlamydia and gonorrhea
Oral transmission of these STDs is less likely than transmission during vaginal or anal sex, but it’s still possible. This occurs during oral sex, since chlamydia and gonorrhea can’t be transmitted through kissing.
Most people with oral chlamydia or gonorrhea don’t experience any symptoms; however, asymptomatic people can still infect their partners through oral sex. According to a study published by the journal Infectious Diseases in Obstetrics and Gynecology, oral gonorrhea is usually more symptomatic than oral chlamydia.
When symptoms do occur, they can include:
- A sore throat
- Painless sores in or around the mouth
- Swollen lymph nodes
- Oral inflammation
Gonorrhea on mouth
Chlamydia on mouth
Syphilis
Syphilis can spread during oral sex, specially if you have small lesions on the lining of your lips or mouth. According to the CDC and a study published by the Annals of Diagnostic Pathology, symptoms of oral syphilis can include:
- One or more hard, painless ulcers (chancre) on the lips, throat, or mouth
- Ulcerated tongue lesions
- Swollen lymph nodes
- White spots on the tongue, mouth, or throat
Available Testing Options
Infection/Test | 10 Panel STD Test | 8 Panel STD Test | 5 Panel STD Test |
|---|---|---|---|
Provider | STDCheck | LetsGetChecked | LetsGetChecked |
Chalmydia | ✔️ | ✔️ | |
Gonorrhea | ✔️ | ✔️ | ✔️ |
Hepatitis | ✔️ | ||
Herpes | ✔️ | ||
Syphilis | ✔️ | ✔️ | ✔️ |
HIV | ✔️ | ✔️ | |
Tricho | ✔️ | ✔️ | |
Ureaplasma | ✔️ | ||
Gardnerella | ✔️ | ||
Mycoplasma | ✔️ |
-
Best for Herpes simplex virus 1 & 2
-
Know if you have Herpes within 2-5 days
-
Get medical support & guidance on Herpes
-
Your Herpes status will kept secure
-
Medical support available 24/7
-
FSA & HSA cards accepted
9.9
-
Certified & discreet STDs home kit
-
Lab results in 2-5 days
-
Screens for the highest risk factors
-
Free medical consultation for positives
-
Accepts FSA & HSA cards
9.8
Treatment for STDs on the lips, throat, and mouth
Oral herpes treatment
There’s no specific treatment to eliminate the herpes virus, but antiviral medications can prevent or shorten the duration of herpes outbreaks. These medications are available in oral, topical, and intravenous forms.
Oral HPV treatment
There’s no cure for HPV, although according to the University of California San Francisco, a large percentage of people clear the infection on their own within 2 years. Since most people don’t exhibit any symptoms, oral HPV sometimes goes untreated until it disappears on its own or causes complications.
Several methods can be used to remove HPV warts, including:
- Cryotherapy
- Surgical removal and biopsy
- Interferon injections
The HPV vaccine can prevent infection with some of the most common types of HPV, including the ones that lead to most cases of warts and cancer.
Treatment for bacterial oral STDs
Infections such as gonorrhea, chlamydia, and syphilis will typically be treated with a course of antibiotics prescribed by your doctor. It’s important to complete the entire course of treatment, even if you’re already feeling better. Not completing a course of antibiotics can lead to recurrences and antibiotic resistance.
How to prevent oral STDs
As the NHS points out, you should always make sure that you or your partner wears a condom when receiving oral sex. Dental dams can also be worn to cover female genitals or the anus during oral intercourse.
Dental dams are small, very thin square sheets of plastic (either latex or polyurethane) which protect against oral STDs. If you don’t have access to a dental dam, you can cut a condom open into a square shape to use as protection during oral sex.
Maintaining good oral hygiene can decrease your risk of getting an STD on your lips or throat. Poor dental hygiene can lead to inflammatory conditions, such as gum disease, that could potentially make it easier for pathogens to enter your body during oral sex.
The good news is that even if you’re diagnosed with an oral STD, it’s very likely that it can be treated or managed. That’s one of the reasons why it’s so important to seek medical assistance as soon as you notice any symptoms, since early diagnosis and treatment can prevent complications and allow you to get back to normal as soon as possible.
References
- Herpes: HSV-1 and HSV-2 - hopkinsmedicine.org
- HPV and Oropharyngeal Cancer - cdc.gov
- Oropharyngeal Human Papilloma Virus (HPV) Infection - my.clevelandclinic.org
- Extragenital Infections Caused by Chlamydia trachomatis and Neisseria gonorrhoeae: A Review of the Literature - ncbi.nlm.nih.gov
- STD Risk and Oral Sex - CDC Fact Sheet - cdc.gov
- Oral syphilis: report of three cases and characterization of the inflammatory cells - sciencedirect.com
- Oral human papillomavirus infection - ucsfhealth.org
- What infections can I catch through oral sex? - nhs.uk
