Written by Dr. Andrea Pinto MD - Written on September 14, 2021
Trichomoniasis, sometimes referred to as “trich”, is a relatively common STD. This sexually transmitted disease can cause a range or symptoms, but it can also be completely asymptomatic in many people. Learning how to recognize the symptoms of trichomoniasis can help you spot it early and get treated if you ever get this disease.
Read on to learn more about trichomoniasis symptoms, causes, treatment, and to see trichomoniasis pictures to help you catch it.
Trichomoniasis pictures and symptoms
A large percentage of people infected with trichomoniasis never develop any symptoms for this disease, although they can still spread it to other people. It has been estimated that only around 30 percent of people will develop symptoms of this STD.
For this reason, it’s very important that you get regular STD testing, even if you don’t exhibit symptoms of an STD. This practice can help keep you and your sexual partners safe and healthy. You can learn more about convenient STD testing at STDWatch.com.
According to the Cleveland Clinic, symptoms of trichomoniasis can include:
- Thin, foamy vaginal discharge that can be white, gray, yellow, or greenish with a fishy smell
- White penile discharge
- Genital itching, burning, or irritation
- Pain or burning during intercourse or urination
- Lower abdominal pain
Order an At-Home Trichomoniasis Test
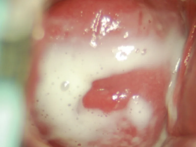
Trichomoniasis pictures
In the pictures below, you can see thin, white, foamy discharge around the cervix of two patients with trichomoniasis. Vaginitis, which is an inflammation of the vagina, is also present in both cases. Trichomoniasis discharge has a characteristic strong “fishy” odor.
Trichomoniasis can also cause a finding called “strawberry cervix”, in which small hemorrhagic spots appear on the cervix due to the inflammation caused by the infection.
What is trichomoniasis?
Trichomoniasis is a sexually transmitted disease (STD) that is caused by a small protozoan parasite called Trichomonas vaginalis.
According to the CDC, trichomoniasis is the most commonly reported curable STD in the United States, with more than two million reported infections each year.
Order an At-Home Trichomoniasis Test
How do you get trichomoniasis?
Trichomoniasis is primarily spread through sexual contact, including vaginal, anal, and oral sex. It can also be spread during intimate skin-to-skin contact, such as rubbing your genitals with someone else’s. Trichomoniasis has an incubation period of approximately 5 to 28 days after exposure.
According to the American Pregnancy Association, it’s also possible for a pregnant mother to pass the trichomoniasis parasite to her baby. However, this is rare and the infection can be treated with antibiotics. But trichomoniasis during pregnancy can still increase the risk of preterm labor, low birth weight, and developmental problems for the baby.
It’s very unlikely to get trichomoniasis without any sexual contact, but not impossible. A study published by the PLOS ONE journal and conducted in Zambia found cases of trichomoniasis in young girls who hadn’t had intercourse before. Although the exact reason for this isn’t completely understood, the researchers theorized that it could be a result of shared bath water and poor hygiene practices. However, this is an extremely uncommon occurrence.
According to the Mayo Clinic, some of the risk factors that can increase your likelihood of catching trichomoniasis include:
- Multiple sexual partners
- Having had intercourse without a condom
- A previous history of trichomoniasis
- A previous history of other STDs
According to Avert, untreated trichomoniasis can increase your risk of getting HIV if you’re exposed to the virus. If you already have HIV, trichomoniasis can also increase your viral load.
Treatment for trichomoniasis
Fortunately, trichomoniasis can be completely cured with a course of antibiotics. The most commonly used treatment for trichomoniasis is metronidazole or tinidazole. Trichomoniasis won’t go away on its own without treatment, even if you’re asymptomatic.
The good news is that antibiotic treatment is usually very successful against trichomoniasis. According to a study published by the Taiwanese Journal of Obstetrics and Gynecology, the curation rate for a single 2 gr dose of metronidazole is 90-95 percent, and 86-100 percent for the same dose of tinidazole.
It’s important for your partner to be tested as well, so they can receive treatment if necessary. This will prevent you from passing the trichomoniasis parasite back and forth with you. If you have had multiple partners recently, you should inform them of your diagnosis so they can also get tested.
Also, you will need to avoid having intercourse for a week after you have finished your entire course of treatment — make sure you take all your antibiotics as prescribed, and don’t stop taking the trichomoniasis treatment before you complete it, even if you feel better already. It’s recommended that you get another trichomoniasis test three months after finishing your treatment.
There are only two ways to completely prevent trichomoniasis: to avoid sexual contact altogether, or to only have sex inside a strictly monogamous relationship where both partners have been tested. However, you can easily detect trichomoniasis through STD testing, which allows you to screen for different STDs and get treatment in case your test comes back positive. With treatment, it’s quite simple to get rid of trichomoniasis.
Order an At-Home Trichomoniasis Test
References
- Trichomoniasis - my.clevelandclinic.org
- Trichomoniasis - CDC Fact Sheet - cdc.gov
- Trichomoniasis During Pregnancy - americanpregnancy.org
- Non-Sexual Transmission of Trichomonas vaginalis in Adolescent Girls Attending School in Ndola, Zambia - journals.plos.org
- Trichomoniasis - mayoclinic.org
- Trichomoniasis symptoms and treatment - avert.org
- Experience of successful treatment of patients with metronidazole-resistant Trichomonas vaginalis with zinc sulfate: A case series - sciencedirect.com
